前十字韌帶斷裂手術
2026-02-05
後腳跛行的頭號殺手——前十字韌帶斷裂與 TPLO 手術治療
前十字韌帶(CCL)是維持狗狗膝關節穩定最重要的結構,負責防止脛骨向前滑動。不同於人類多因運動傷害造成,狗狗的十字韌帶斷裂通常是長期退化的結果,最後在某次跳躍或急煞時完全斷裂。這會導致關節極度不穩、半月板受損,引發劇烈疼痛與關節炎。
 
傳統的線材固定手術(如線拉法)對於中大型犬或活動力強的狗狗,失敗率與斷裂風險較高。
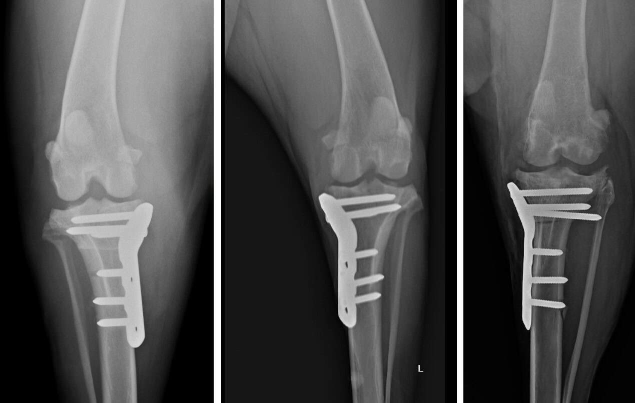
TPLO (Tibial Plateau Leveling Osteotomy) 是目前國際公認治療前十字韌帶斷裂的黃金標準手術。
它的原理非常巧妙: 既然韌帶斷了,我們不再執著於修補那條脆弱的韌帶,而是透過幾何力學的改變,將脛骨切開並旋轉角度,改變膝關節受力的平臺。術後,狗狗的膝蓋不再需要依靠前十字韌帶就能在行走時保持穩定。
 
手術的3大優勢
1.早期負重: 大多數狗狗在術後幾天內便願意用患肢著地行走,大幅減少肌肉萎縮。
2.長期穩定性佳: 改變了骨骼力學結構,術後穩定性遠優於傳統線材固定,且不會有線材斷裂或感染排斥的風險。
3.延緩關節炎: 有效減少關節內的異常摩擦,保護半月板,讓愛犬重拾奔跑的快樂。
 
前十字韌帶斷裂是不可逆的傷害,拖延治療只會導致嚴重的骨刺增生與肌肉萎縮。若您的愛犬出現後腳不敢著地、坐姿時腿向外伸出的情況,請盡速諮詢恩澤動物醫院的骨科門診。


 
骨科
骨科