醫院介紹
醫療服務
一般內科
一般外科
疫苗
骨科
眼科
復健科
最新消息
醫療團隊
門診排班
獸醫師專欄
一般外科
首 頁
醫療服務
一般外科
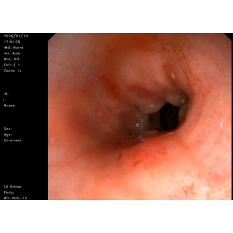
內視鏡軟鏡檢查
一般外科 - 2026-02-05
內視鏡介紹 當毛孩出現長期的嘔吐、拉肚子,或是誤食異物時,除了血液檢查與 X 光,您是否聽過「內視鏡檢查」呢?這是一項能大幅降低毛孩痛苦,同時提供精確診斷的高階醫療技術。 什麼是內視鏡軟鏡? 內視鏡是一種柔...
>> Read more
犬貓牙科
一般外科 - 2026-02-05
獸醫小動物牙科治療(通常稱為 COHAT,Comprehensive Oral Health Assessment and Treatment,完整口腔健康評估與治療)是一個嚴謹且系統化的醫療過程,不僅僅是「洗牙」而已。 一、治療前準備流程(Pre-treatment) 在進行牙科治療前,必...
>> Read more
一般外科
一般外科 - 2026-02-05
1. 絕育手術 (Spay & Neuter) 公犬/公貓 (Castration): 摘除睪丸。可預防睪丸腫瘤、攝護腺腫大及減少行為問題(如亂尿尿、攻擊性)。 母犬/母貓 (OHE): 早期摘除卵巢與子宮。這是預防致命性「子宮蓄膿」的唯一方法,也能大...
>> Read more